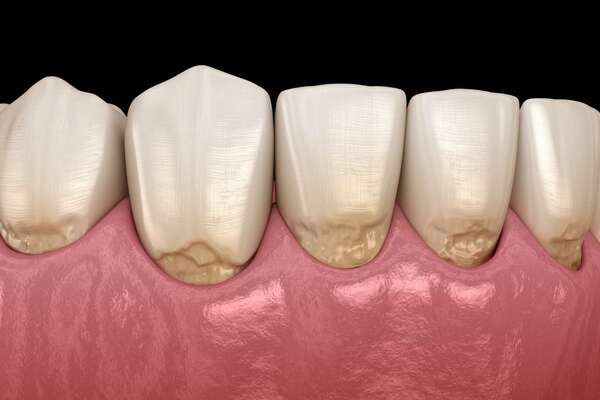
La mylolyse ou lésion cervicale d’usure se définit comme une perte de matière dentaire se localisant au collet de la dent.
Blog - Page 15
Les facettes sont des revêtements très fins en céramique qui sont collés sur la face externe des dents pour retrouver un sourire harmonieux.
Certains défauts esthétiques du sourire, et plus particulièrement de la gencive, peuvent être traités à l’aide d’une greffe gingivale.
Les caries dentaires affectent 60 à 90 % des enfants d’âge scolaire et la majorité des adultes. Mieux les comprendre permet de mieux les éviter !
La dévitalisation consiste à retirer le nerf d’une dent lorsque celui-ci a été endommagé par une carie profonde, une fêlure ou un choc.
Un abcès est une infection purulente qui provoque une vive douleur accompagnée de symptômes locaux (gonflement) ou généraux (fièvre).
Derniers articles
Appareil orthodontique permettant de corriger les dents antérieures afin d'assurer leur bon placement
La couronne céramique est scellée sur le pilier de l'implant, lui-même placé dans la masse osseuse de la mâchoire.
Après la pose du pilier en titane de l'implant, une vis de couverture est placée temporairement puis remplacée par la prothèse définitive









